Мастер-Ортодонтия
-
Образование
Самарский Государственный Медицинский Университет (КМИ им. Д.И. Ульянова).
-
Повышение квалификации, курсы
2024 - Архитеркура ортодонтии, Насиб Балют и Фернандо Аристизабаль
2024 - Master Coip, Ivan Malagon , Diego Pedro
2024 - AEEDC Dubai World Oral & Maxillofacial Conference 2024, Dubai
2024 - European Aligner Congress, EAS
2023 - Envista Summit Dubai, Envista
2022 - Ортодонтическая подготовка к имплантации и протезированию, С Блум
2022 - Рождественские встречи. Дети и брекеты, Ormco
2022 - Практические аспекты работы с КЛКТ, 3д диалог. А Плаксин, В Грачев
2021 - Синергия ортодонта и остеопата в дисфункции ВНЧС, Ormco
2021 - Самарский дискуссионный клуб стоматологов, СДКС
2020 - Лечение и профилактика Дисфункции ВНЧС, Prof Doc. Дьячкова ЯЮ
2020 - Золотые правила самолигирования: Открывая двери к успеху, Матиас Ангильери
2020 - Минивинты в ортодонтии. Сплав металла и интеллекта, Тихонов АВ
2020 - Orthodontic congress, Won Moon, Marco Rosa, Seong-Hun Kim
2020 - Управление дисфункциональным поведением, Грибанова АВ
2020 - Тренинг онлайн. Как создать и провести, Турлаева АС
2019 - Ортодонтическое лечение детей. Что ? Где? Когда?, Ортодонт эксперт
2019 - International Orthodontic Symposium, IOS
2019 - 6 конференция лектором ОРМКО, ORMCO
2019 - Практический клуб по композитному протоколу, С Блум
2019 - Искусство ортодонтии. Пациент-на первом месте, Стюарт Фрост
2019 - Лечение патологии височно-нижнечелюстного сустава, Элизабет Менцель
2018 - Современные тенденции в ортодонтии, Ormco
2018 - Invisalign Training Course, Invisalign
2018 - Ретенированные клыки, Хорольская ЛА
2018 - Интерактивный семинар по продукции Ormco,Селиверстова ОА
2018 - Особенности проведения презентации в сложной аудитории,Селиверстова ОА
2017 - Современнные аспекты хирургического и ортодонтического лечения аномалий прикуса. Комплексное лечение обструктивного апноэ сна, Edmed
2017 - Лечение различных аномалий прикуса современной несъемной техникой, Ormco
2017 - Ортодонтия как искусство. Красивое завершение случаев, Стюарт Фрост
2017 - Инновационные методики лечения сложных случаев, Крис Чанг
2017 - Win Certification Course, Dirk Wiechmann
2017 - Миофункцтональное ортодонтическое лечение . Дополнительные расширяющие техники. Лингвальная дуга Фаррелла, Мельникова АИ
2017 - Tempomandibular Disorders. The facts and the fantasies, Jeffrey Okeson2017 - Тренинг «Ораторское мастерство», Селиверстова ОА
2017 - Особенности проведения презентации, Селиверстова ОА
2016 - Лечение различных аномалий прикуса современнной несъемной техникой. Теория и разбор клинических случаев, Ormco
2016 - Этапы лечения системой Damon : от первой дуги до завершения, Ormco
2016 - Завершающий этап лечения. Применение технологии «Damon System» при заболеваниях пародонта, Ormco
2016 - Грамотное применение системы Damon в ортодонтической практике: от понимания принципов работы до завершающих этапов лечения, Ormco
2016 - Top 10. Осваиваем систему Damon, Ormco
2016 - Пассивное самолигирование -путь к успеху в вашей практике, Жан Рене Беселер
2015 - Первая ступень. Insignia-базовый курс, Ormco
2015 - Брекет-система Damon-первые шаги к успешному лечению. Диагностика, планирование, выбор прописи, позиционирование, Ormco
2015 - Lingual Liberty, Didie Fillion
2014 - Показания к удалению отдельных Зубов при пограничных случаях лечения технологией Damon system. Апроксимальное пришлифовывание. Применение технологии Damon System при заболеваниях пародонт, Ormco
2014 - Диагностика , клиника и лечение дистальной окклюзии, показания к применению компенсаторных изгибов на различных этапах ортодонтического лечения, Ormco
2012 - Современные технологии для эффективной работы. Система Damon, Тихонов СВ
2012 - Ортодонтическая коррекция дистальной окклюзии у взрослых пациентов. Дуги и их свойства, Тихонов АВ
2012 - European Orthodontic Society Congress in Santiago de Compostela, Spain, EOS
2012 - ESLO Congress, ESLO
2012 - Диагностика и формирование стратегии в реставрационном , ортопедическом и ортодонтическом лечении, Савинов АО
2012 - Lingual Orthodontics Rafi Romano, Silvia Geron
2012 - Диагностика и лечение пациентов с ДВНЧС, Блум СА
2011 - Философия разнообразного торка, Маслов МВ
2010 - Успешная консультация врача стоматолога, ИА Платонов
2008 - Ортодонтия будущего, Кассис
2008 - Interdisciplinary Orthodontics: Are we making the correct treatment decisions, Prof Vincent Kokich
2007 - Orthodontic Treatment with Clear Aligner, Norta SPb
2006 - Damon System : Ортодонтия низкого трения и слабых сил, Alan Bagden
2006 - Проблемы клинической эндодонтии и новые возможности их решения, Соловьева АМ
2006 - MBT summit. Orthodontic management of class 2 malocclusion, 3M Unitek
Дипломы и сертификаты
![]() |
![]() |
![]() |
![]() |
![]() |
![]() |
![]() |
![]() |
![]() |
![]() |
-
Больше дипломов...
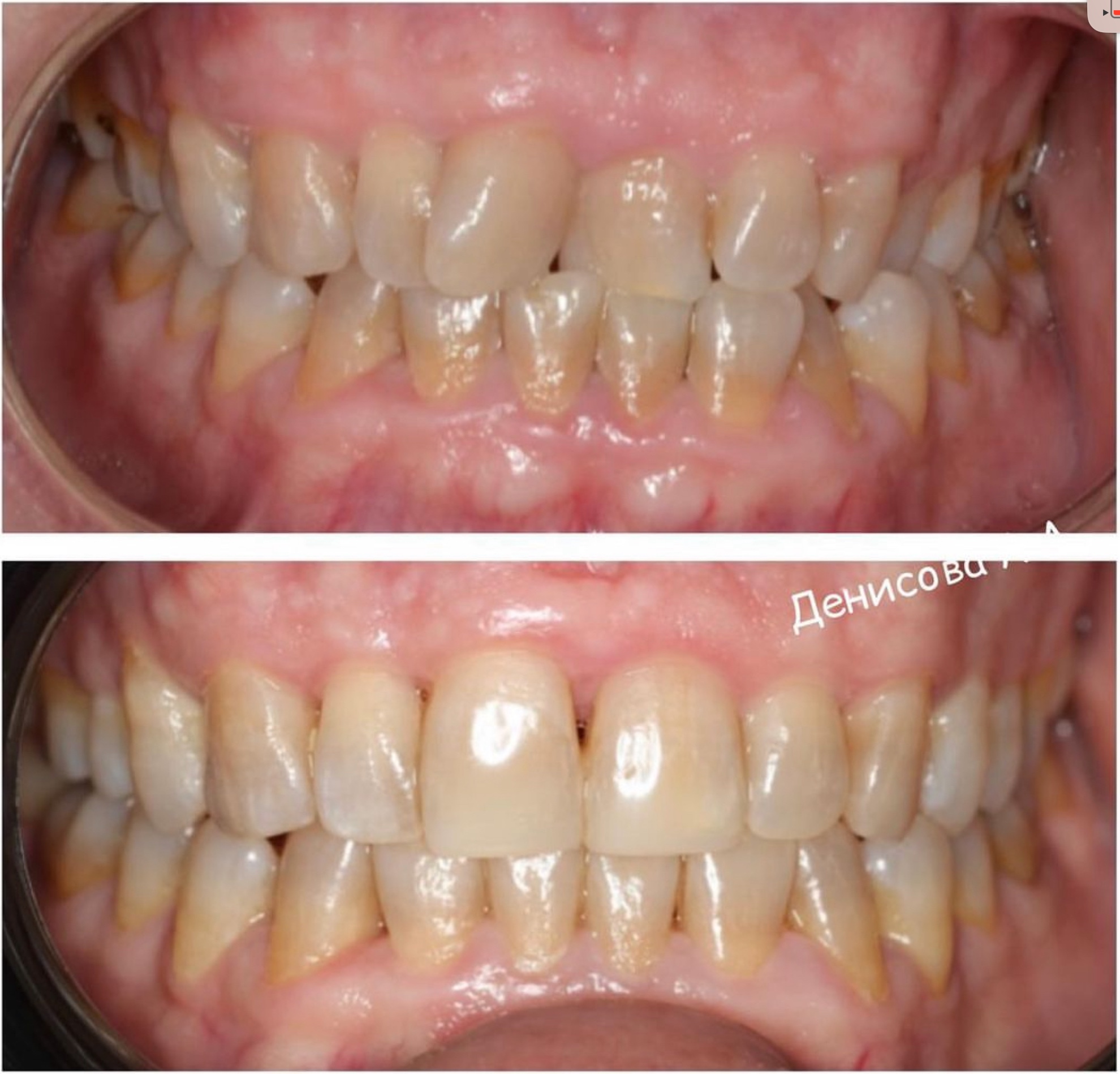
Фото ДО и ПОСЛЕ лечения
![]() |
![]() |
![]() |
![]() |
-
Больше фото
|
Обучаем ортодонтов в связке с ЧЛХ - ортогнатической хирургией. |
Ортодонтическое лечение прикуса в Москве
Ортодонтия является важным направлением стоматологии, позволяющим исправлять аномалии зубного ряда и прикуса. Правильный прикус не только улучшает эстетический вид улыбки, но и способствует здоровью всей полости рта. Клиника Имплантмен предлагает профессиональное исправление прикуса в Москве для взрослых и детей. Наши стоматологи-ортодонты используют современные методы лечения, обеспечивая качественный и длительный результат.
Мы успешно корректируем различные виды прикуса, включая дистальный и мезиальный. В клинике Имплантмен применяется индивидуальный подход к каждому пациенту. Опытные врачи проводят подробную диагностику, чтобы разработать оптимальный план ортодонтического лечения. Записаться на прием можно в удобное для вас время, а наши специалисты ответят на все интересующие вопросы.
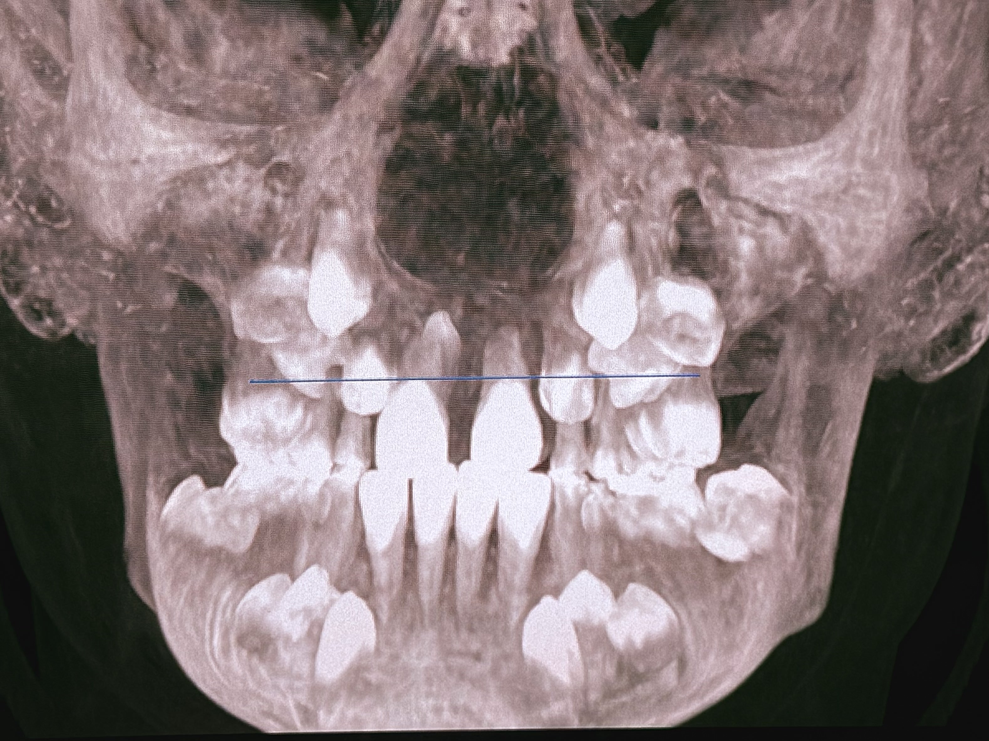
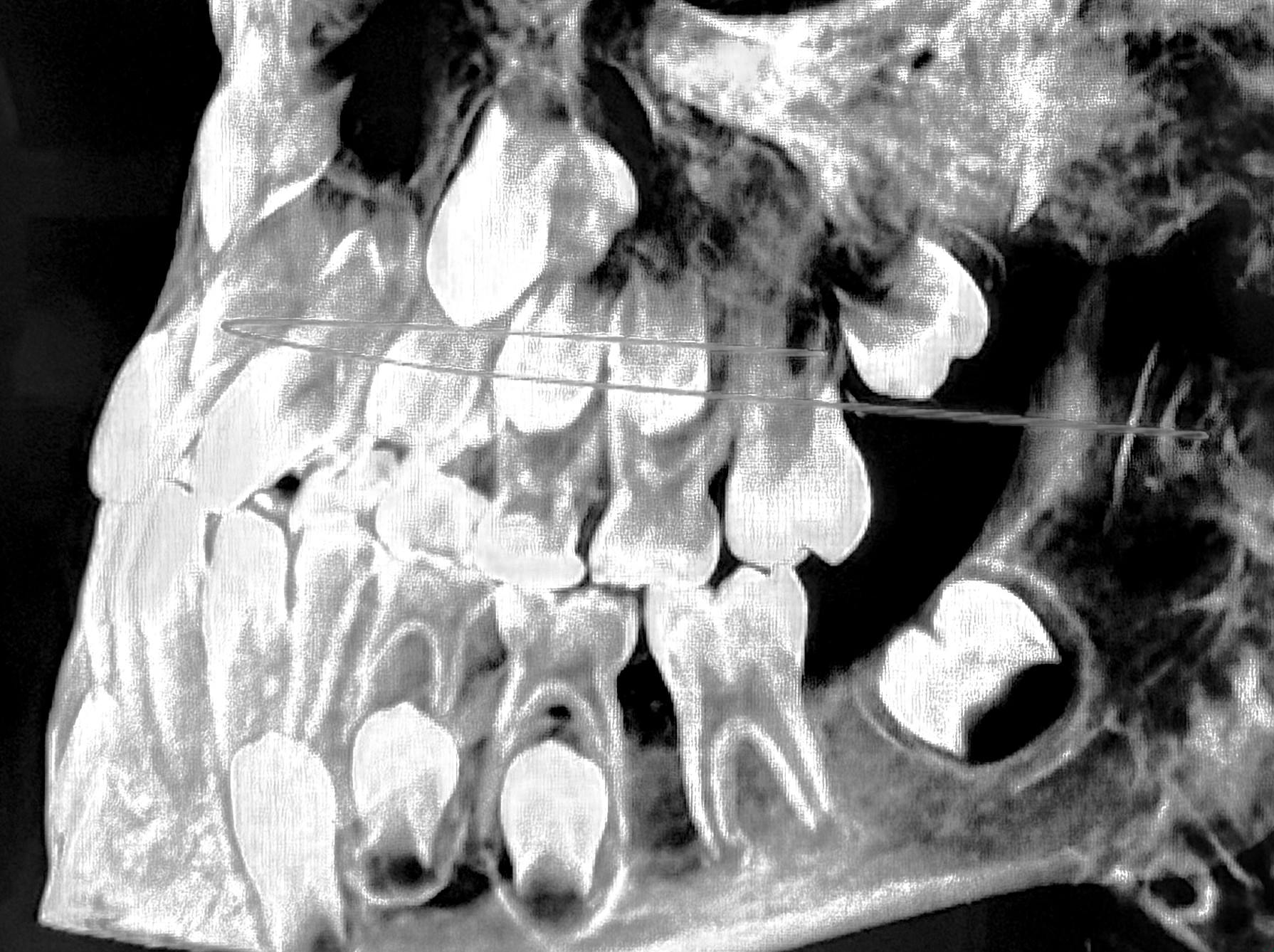
Коррекция прикуса аппаратом MARPE
![]() |
![]() |
Проблема узкой верхней челюсти и скученности зубов знакома многим. Аппарат MARPE — это инновационный ортодонтический метод, который позволяет решить ее максимально физиологично и комфортно. Он создает условия для красивой улыбки и правильного дыхания.
Принцип его работы основан на медленном и контролируемом расширении костных структур. В отличие от хирургических методов, MARPE использует естественные силы организма, минимизируя вмешательство. Это делает процесс лечения более предсказуемым и безопасным.
Аппарат представляет собой несъемную конструкцию, которая фиксируется на первых постоянных зубах или молярах. В его центре находится мини-винт, который вы будете активировать специальным ключиком по разработанной схеме. Эта простая процедура занимает всего несколько секунд в день.
-
Читать далее...
Главное преимущество MARPE — это воздействие непосредственно на срединный нёбный шов. Таким образом, расширяется сама кость, а не просто раздвигаются зубы. Это обеспечивает стабильный долговременный результат и предотвращает рецидивы в будущем.
Данная технология особенно эффективна для детей и подростков, чей скелет еще находится в стадии роста. В этом возрасте нёбный шов более податлив, что позволяет добиться идеального результата в кратчайшие сроки. Однако и для взрослых пациентов метод открывает новые возможности.
Помимо создания места для ровных зубов, MARPE улучшает носовое дыхание. Расширяя верхнюю челюсть, мы увеличиваем объем носовых ходов. Многие пациенты отмечают, что стали легче дышать, особенно в ночное время.
Процесс установки аппарата быстрый и безболезненный, он проводится под местной анестезией. После фиксации вы почувствуете лишь небольшой дискомфорт, который скоро пройдет. Наша команда подробно проинструктирует вас по всем вопросам ухода и активации.
Период ношения аппарата и активного расширения обычно занимает несколько месяцев. После достижения необходимого результата аппарат снимается, а для фиксации эффекта используется несъемный ретейнер. Далее лечение может продолжиться на брекет-системе для идеального выравнивания зубов.
Хотите определить, является ли аппарат MARPE оптимальным решением в вашей ситуации? Для этого необходима очная консультация с ортодонтом. На приеме врач проведет диагностику, включая 3D-сканирование, и подробно разберет возможные варианты лечения.
Метод MARPE доказал свою высокую эффективность для создания места зубам и улучшения функции дыхания. Результатом его применения становится не только ровный зубной ряд, но и стабильное здоровье зубочелюстной системы на долгие годы.
Виды ортодонтического лечения
Наши стоматологи-ортодонты предлагают широкий спектр услуг по исправлению прикуса и выравниванию зубов. В зависимости от сложности случая и пожеланий пациента, мы подбираем наиболее эффективные методы коррекции.
-
Брекет-системы: традиционные металлические, керамические или сапфировые брекеты для надежного исправления прикуса.
-
Элайнеры: прозрачные капы, позволяющие корректировать положение зубов незаметно для окружающих.
-
Ортодонтические пластины: съемные аппараты, применяемые для лечения у детей и взрослых при незначительных нарушениях.
-
Лингвальные брекеты: устанавливаются на внутренней стороне зубов и являются полностью невидимыми.
![]() |
![]() |
![]() |
![]() |
-
Больше фото...
Преимущества лечения в клинике Имплантмен
Обратившись в нашу клинику, вы получаете ряд преимуществ:
-
Профессиональные врачи: опытные стоматологи-ортодонты с многолетней практикой.
-
Современное оборудование: использование новейших технологий и материалов в ортодонтии.
-
Индивидуальный подход: персонализация плана лечения под особенности каждого пациента.
-
Доступные цены: прозрачная стоимость услуг и возможность рассрочки платежей.
-
Комфортная обстановка: дружелюбный персонал и уютная атмосфера клиники.
Мы стремимся сделать ортодонтическое лечение максимально комфортным и эффективным. Записаться на прием к стоматологу-ортодонту можно по телефону или через онлайн-форму на сайте.
Сколько стоит коррекция прикуса
Стоимость ортодонтического лечения зависит от выбранного метода коррекции, сложности клинического случая и продолжительности лечения. В клинике Имплантмен мы предлагаем конкурентоспособные цены на исправление прикуса в Москве. Точную стоимость вы сможете узнать после консультации с врачом, который проведет осмотр и предложит оптимальный план лечения. Мы также предоставляем возможность рассчитать предварительную цену услуг, связавшись с нашими администраторами. Сделайте первый шаг к идеальной улыбке — запишитесь на прием уже сегодня!































































































































































































