Отбеливание зубов ZOOM 4
Отбеливание ZOOM 4 LED - это современная процедура профессионального отбеливания зубов системой Philips ZOOM. Главное отличие ZOOM 4 LED от предыдущей версии ZOOM 3 - менее травматичное воздействие на зубную эмаль и более ощутимый результат от одной процедуры.
Жмите на нужный раздел или листайте ниже..
Акция на отбеливание Зум 4 LED
Акция действует до 31 декабря 2025 года!
Отбеливание ZOOM 4 WHITE Speed LED + чистка = в одну процедуру.
Цена за всё 14500 руб
Отбеливание зубов ZOOM 4 WHITE Speed LED + отбеливание лазером doctor SMILE + чистка = в одну процедуру.
Цена за всё 15500 руб
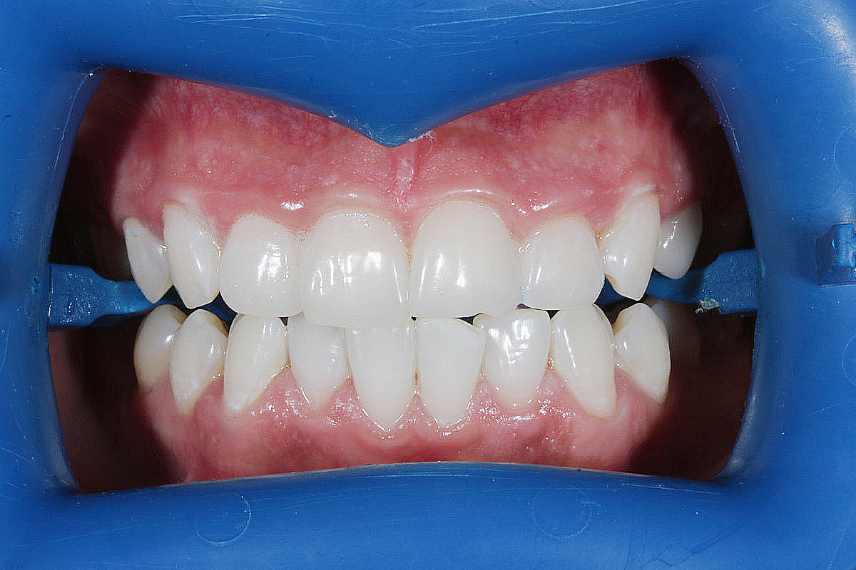
Отбеливание зубов Zoom 4 по акции - фото До и После
Как проходит процедура отбеливания ZOOM 4 LED - основные этапы
Шаг 1. Максимально бережно для эмали. Максимально эффективно.
ZOOM 4 (холодное излучение) + отбеливание Лазером (излучение за пределами светового спектра). Совмещение цифровых технологий позволяет засвечивать активный гель на разной длине волны, достигая свечения зуба изнутри. Тем самым мы полностью исключаем результат "Ой, не получилось". Отбеливание Зум 4 всегда дает ожидаемый результат.
Шаг 2. Непосредственно перед нанесением геля и засвечиванием в полости рта была проведена чистка (включена в акцию). Молекула H2O2 делится на атом кислорода O и воду H2O. Атом кислорода, хаотично двигаясь, полностью выбивает пигмент, проникая в канальцы эмали, не повреждая структурную решетку. Возрастной пигмент желтизны больше не вернется. Таким образом, отбеливание зум лампой Zoom 4 очень ээфективно!
Шаг 3. По завершении эмиссии Лазера DS усиление эффекта длится 72 часа. Далее стабилизация тона. После всего комплекса мероприятий рекомендуется "Белая диета".
Используем только Оригинальный гель для отбеливания ZOOM 4
Особенности отбеливания системой ZOOM 4
![]() |
![]() |
![]() |
| Изменение цвета зубов до 12 тонов | Самый прогрессивный и щадящий метод отбеливания | Длительный жемчужный результат, даже если изначально зубы были далеки от "жемчуга" |
Стоимость отбеливания ZOOM 4 LED - цена по акции
Отбеливание ZOOM 4 WHITE Speed LED + чистка = в одну процедуру |
Отбеливание зубов ZOOM 4 WHITE Speed LED + отбеливание лазером doctor SMILE + чистка = в одну процедуру |
| 14 500 р. | 15 500 р. |
Наши доктора за работой
Записаться на отбеливание
Для записи на отбеливание ЗУМ позвоните нам по телефону 8(495) 609-39-84 или напишите онлайн-помощнику на сайте - мы всегда на связи!

Zoom 4 реальные отзывы наших пациентов
![]() |
![]() |
![]() |
![]() |
![]() |
![]() |
![]() |
![]() |
![]() |
![]() |
![]() |
![]() |
![]() |
![]() |
![]() |
![]() |
Результаты отбеливания - фото ДО и ПОСЛЕ
| ДО отбеливания | ПОСЛЕ отбеливания ZOOM 4 |
![]() |
![]() |
![]() |
![]() |
![]() |
![]() |
Видео о системе отбеливания Philips ZOOM 4
Отбеливание Зум - что это такое?
Отбеливание Зум – это современный способ сделать зубы не только белее, но и улучшить состояние зубов, сделать их более здоровыми и красивыми. Отбеливание ZOOM 4 можно проводить как в клинике, так и дома. Последний способ не слишком надежный, поскольку нет возможности пользоваться лампой ZOOM. Мы рекомендуем проводить процедуру отбеливания в клинике. Только так Вы сможете добиться наилучшего результата!
Отличие отбеливания системой ZOOM 4 от других видов отбеливания
| Обычное отбеливание | Отбеливание ZOOM 4 в клинике НЕВАТЕКС | |
| Профессиональная чистка полости рта | ![]() |
![]() |
| Укрепление зубной эмали | ![]() |
![]() |
| Возможные болевые ощущения во время процедуры | ![]() |
![]() |
| Долгий жемчужный результат | ![]() |
![]() |
| Наилучший эффект | ![]() |
![]() |
Преимущества и недостатки отбеливания ZOOM 4
Показания и противопоказания к отбеливанию Zoom 4 LED
Как часто можно отбеливать зубы системой Zoom 4?
Общие рекомендации таковы - отбеливать зубы по технологии ZOOM 4 не более, чем 2 раза в год. Однако при правильном выполнении процедуры в условиях клиники и соблюдении пациентом "белой диеты" сразу после отбеливания, белоснежный результат может сохраняться на протяжении нескольких лет.
Продолжительность процедуры
Комплексное отбеливание занимает приблизительно 1 час. Для достижения ощутимого результата обычно достаточно 1 процедуры.
Побочные явления
Отбеливание с использованием аппарата ZOOM 4 LED не имеет побочных явлений, однако пациентов с повышенной чувствительностью зубов могут беспокоить незначительные покалывания во время работы лазера.
Уход за зубами после отбеливания
Запишитесь на отбеливание ZOOM 4 LED
Для записи на отбеливание ЗУМ позвоните нам по телефону 8(495) 609-39-84 или напишите онлайн-помощнику на сайте - мы всегда на связи!

Стоимость отбеливания зубов Zoom 4 LED
Отбеливание Zoom 4 в Москве
Клиника Имплантмен в Москве предлагает профессиональное отбеливание Zoom 4 — инновационную систему для эффективного и безопасного осветления зубов. Если вы мечтаете о белоснежной улыбке, современная технология зум 4 поможет добиться желаемого результата всего за одно посещение. Наша клиника оснащена новейшим оборудованием, а опытные специалисты гарантируют высокое качество клинического отбеливания.
Преимущества отбеливания зубов системой Zoom 4
Система Zoom 4 использует специальный аппарат с мощной лампой, которая активирует отбеливающий гель на поверхности зубов. Это позволяет достичь заметного эффекта осветления эмали без вреда для здоровья. Процедура занимает около часа и обеспечивает долгосрочный результат при соблюдении рекомендаций по уходу за полостью рта.
Вот почему многие выбирают именно эту систему:
-
Быстрый результат: заметное осветление зубов за одну процедуру.
-
Безопасность: минимальное воздействие на эмаль и ткани полости рта.
-
Комфорт: процедура проводится в комфортных условиях под наблюдением специалиста.
-
Долговечность: эффект сохраняется длительное время при правильном уходе.
-
Индивидуальный подход: настройка интенсивности отбеливания под ваши особенности.
Наши врачи проводят предварительную консультацию, чтобы оценить состояние зубов и определить оптимальные параметры процедуры. Это обеспечивает максимальную эффективность и безопасность отбеливания.
Как записаться на процедуру
Записаться на профессиональное отбеливание зубов аппаратом Zoom 4 в клинике Имплантмен можно удобным для вас способом:
-
Позвонить по телефону, указанному на сайте.
-
Оставить заявку через онлайн-форму записи.
-
Посетить клинику лично для консультации.
Наши администраторы подробно расскажут о процессе процедуры, ответят на вопросы и подберут удобное время для вашего визита. Мы предоставляем прозрачный прайс на все услуги, чтобы вы могли заранее планировать свой бюджет.
Стоимость отбеливания зубов системой зум 4
Стоимость отбеливания зубов системой зум 4 зависит от индивидуальных особенностей и текущего состояния полости рта. В клинике Имплантмен мы предлагаем выгодные цены на эту услугу. Точный прайс вы можете узнать на нашем сайте или у администратора при записи на прием.
Не упускайте возможность вернуть своей улыбке белизну. Профессиональное отбеливание Zoom 4 в Москве — это эффективный и безопасный способ добиться желаемого результата. Запишитесь на процедуру в клинике Имплантмен и узнайте, сколько стоит ваша новая улыбка!

.jpg)












.jpg)

.jpg)



.jpg)

.jpg)






















.jpg)



.jpg)


